• شهروند خبرنگار
  • شهروند خبرنگار آرشیو
امروز: -
  • صفحه نخست
  • سیاسی
  • اقتصادی
  • اجتماعی
  • علمی و فرهنگی
  • استانها
  • بین الملل
  • ورزشی
  • عکس
  • فیلم
  • شهروندخبرنگار
  • رویداد
پخش زنده
امروز: -
پخش زنده
نسخه اصلی
کد خبر: ۱۸۵۵۴۰۳
تاریخ انتشار: ۲۵ مهر ۱۳۹۶ - ۱۵:۲۰
علمی و فرهنگی » بهداشت و سلامت

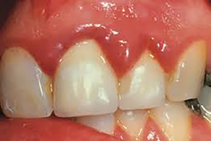
ابتلا نیمی از بزرگسالان ایران به عفونت لثه

رئیس هفدهمین همایش بین المللی پریودنتولوژی از ابتلای ۵۰ درصد از افراد بالای ۳۵ سال کشور به عفونت لثه خبر داد.

دکتر محسن یزدانیان در مصاحبه اختصاصی با خبرنگار خبرگزاری صدا و سیما گفت: عفونت لثه شایع‌ترین بیماری عفونی در جهان است.

وی افزود: براساس آخرین تحقیق‌ها در کشور بیش از نیمی از افراد بالای ۳۵ سال دچار عفونت لثه شده اند.

دکتر یزدانیان گفت: توجه به ارتقای سلامت دهان و دندان به منظور ارتقای سلامت جامعه و کمک به نظام سلامت از جمله اولویت‌های هفدهمین همایش بین المللی پریودنتولوژی است.

وی افزود: در این همایش ۱۵ سخنران از کشور‌های امریکا، آلمان، ایتالیا، فرانسه، اتریش، یونان، انگلیس، کره جنوبی و ژاپن سخنرانی خواهند کرد.

رئیس هفدهمین همایش بین المللی پریودنتولوژی گفت: ۳ هزار دندانپزشک در این همایش که از امروز تا ۲۸ مهر در هتل المپیک تهران برپاست، حضور می‌یابند.

یزدانیان ادامه داد: در این همایش ۴۰ کارگاه تخصصی و ۹ عمل جراحی نیز اجرا می‌شود.

وی با بیان اینکه ۷۱ سخنران در این همایش ۴ روزه سخنرانی می‌کنند گفت: در کنار ۱۸ نشست تخصصی، ۲ نشست ویژه ارتقای سلامت دهان و دندان برگزار و پژوهش‌های برتر نیز ارائه می‌شود.

بازدید از صفحه اول
ارسال به دوستان
نسخه چاپی
گزارش خطا
Bookmark and Share
X Share
Telegram Google Plus Linkdin
ایتا سروش
عضویت در خبرنامه
نظر شما
آخرین اخبار
آموزش پیشرفته زنبورداری بهینه و کاربردی در نجف آباد
آغاز رزمایش پیشگیری از دیابت در استان
تحقق هدف ۴۰ درصدی بودجه غیرشهریه‌ای دانشگاه آزاد
مستند‌های «بیستا برمه» و «شیر‌های دریایی گالاپاگوس»، از قاب تلویزیون
محموله سیگار و تنباکوی قاچاق به مقصد نرسید
صدور مجوز جذب ۶ هزار نیرو در قوه قضاییه
مشخص شدن داوران دیدار ذوب‌آهن - چادرملو و سپاهان - فجرسپاسی
کشاورزی حفاظتی راهکار حفظ خاک
کسب ۳ نشان برنز توسط ووشو کاران کردستانی
بررسی مشکلات ناشی از تعلیق کارت‌های بازرگانی و ارائه راهکار‌های لازم
امضاء تفاهم‌نامه همکاری شرکت گاز و پارک علم و فناوری استان
وزیر رفاه: اقدامات برای اجرای پرداخت کالابرگ انجام شده است
دستگیری سارقین حرفه‌ای در مرودشت
رئیس جمهور از رئیس آتش‌نشانی کاشان تجلیل کرد
تکواندو زیر ۲۱ سال جهان؛ زندی طلایی شد
برگزاری دوره تربیت مدرس جوانی جمعیت در قم
اشتغالزایی ۸۰ درصدی مددجویان زندان گلپایگان
پارکینگ نیایش طرحی که هر سال قرار است افتتاح شود
هرمزگان میزبان دو رویداد بین‌المللی در حوزه کشاورزی و اقتصاد دریایی
آغاز بارش برف پاییزی در فیروزکوه
  • پربازدیدها
  • پر بحث ترین ها
فعالیت مدارس و دانشگاه‌های فارس فردا هم مجازی است
تعطیلی مدارس در همه مقاطع تحصیلی و مراکز دانشگاهی و آموزش عالی استان البرز
شاخص هوای شیراز امروز ۱۱ آذر ۱۴۰۴
سقف کیفری مهریه مشخص شد
دانش‌ قرارگاه‌خاتم‌الانبیا به‌بخش‌های دولتی‌وخصوصی منتقل‌شود
مدارس و مراکز آموزشی غیر حضوری شد؛اداره ها دور کار
بارش باران در غرب، شمال غرب و شمال کشور
کالابرگ الکترونیک؛ تضمین قیمت ثابت برای دهک‌های هدف
مدارس و دانشگاه‌های تهران فردا ۱۲ آذر حضوری شدند
۱۰۰ هزار میلیارد تومان کالابرگ پرداخت شد
آمریکا در ونزوئلا دنبال چیست؟!
آسمان قم تا پنج شنبه بارانی است
استان یزد فردا بارانی می شود
نامه ایران، روسیه و چین درباره پایان قطعنامه ۲۲۳۱
کشف باند توزیع شیشه در فیروزکوه با شگرد پنهان‌سازی در لوازم آرایشی
بازیکن دهدشتی برترین گلزن نیم فصل لیگ برتر امید‌های کشور  (۴۶ نظر)
فعالیت مدارس و دانشگاه‌های فارس فردا هم مجازی است  (۲۶ نظر)
فرزندان مصدوم معاون رئیس جمهور به تهران منتقل شدند  (۱ نظر)
سقف کیفری مهریه مشخص شد  (۱ نظر)
دشمن خطا کند هزینه سنگینی به او تحمیل می‌کنیم  (۱ نظر)
تردید‌ها درباره سلامتی ترامپ با انتشار‌ام‌آر‌آی وی  (۱ نظر)
اقدام استرالیا علیه سپاه در جهت اهداف آمریکا و اسرائیل است  (۱ نظر)
آسمان قم تا پنج شنبه بارانی است  (۱ نظر)
سرعت غیرمجاز، رکن اصلی تصادفات جاده‌ای  (۱ نظر)
میرزا کوچک جنگلی بزرگمرد پرآوازه‌ گیلان  (۱ نظر)
غیرحضوری شدن مدارس و دانشگاه‌های خراسان جنوبی  (۱ نظر)
ابلاغ شیوه نامه مراقبت و کنترل آنفلوانزا در مدارس استان  (۱ نظر)
طرح ملی نشت‌یابی هوشمند آب با فناوری ماهواره‌ای  (۱ نظر)
قطعی گاز در شهرزیبا منطقه ۵ تهران از ۱۶ ساعت گذشت  (۱ نظر)
تخلف در تبدیل رایگان خودرو‌های بنزینی به دوگانه سوز  (۱ نظر)